알리바바 AI, 발견 어려운 췌장암 조기 발견 성공…美·中서 성과
디지털투데이 (DigitalToday)
2026. 1. 7.
레어노트 등록일
2026. 1. 7.
조회
1
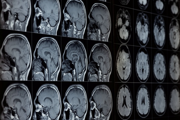
[디지털투데이 AI리포터] 중국과 미국을 중심으로 인공지능(AI)이 의료 현장에서 빠르게 활용 범위를 넓히고 있다. 암 조기 진단부터 병원 운영 효율화까지 성과가 이어지는 한편, 임상적 한계와 윤리적 우려도 동시에 제기된다.7일(현지시간) 온라인 매체 기가진에 따르면, 중국에서는 알리바바 산하 다모 아카데미(Damo Academy)가 개발한 AI 툴 'PANDA'(PANcreatic cancer Detection with Artificial intelligence)를 활용한 췌장암 조기 발견 실험이 진행 중이다. PANDA는 조영제...
기사 원문 보러가기글로벌 뉴스는 현재 시범 서비스 운영 중으로 기사 품질과 번역은 지속적으로 개선 될 예정입니다. 글로벌 뉴스는 사용자가 선택한 질환에 관련된 기사를 Google News의 RSS를 통해 제공합니다. 기사의 제목과 설명은 Google News RSS를 기반으로 하기에 원문 기사 내용과 다소 차이가 있을 수 있습니다. 중요한 정보 활용 시에는 기사 원문 확인이나 전문가 상담을 권장합니다. 기사 원문에 대한 책임은 원출처에 있으며, 레어노트는 기사의 정확성이나 신뢰성에 대해 책임지지 않습니다. 외부 사이트 이동 시에는 해당 사이트의 내용 및 보안 책임이 있음을 유의해 주시기 바랍니다.
암 · 희귀질환과 관련된
전 세계 정보,
전 세계 정보,
레어노트에서 확인해 보세요
휴대폰으로 QR를 촬영하면
앱을 설치할 수 있습니다.
