CML 치료 목표의 진화: 더 깊은 반응과 삶의 질이 중요한 이유
기사 발행일
2025. 10. 16.
레어노트 등록일
2025. 10. 21.
조회
0
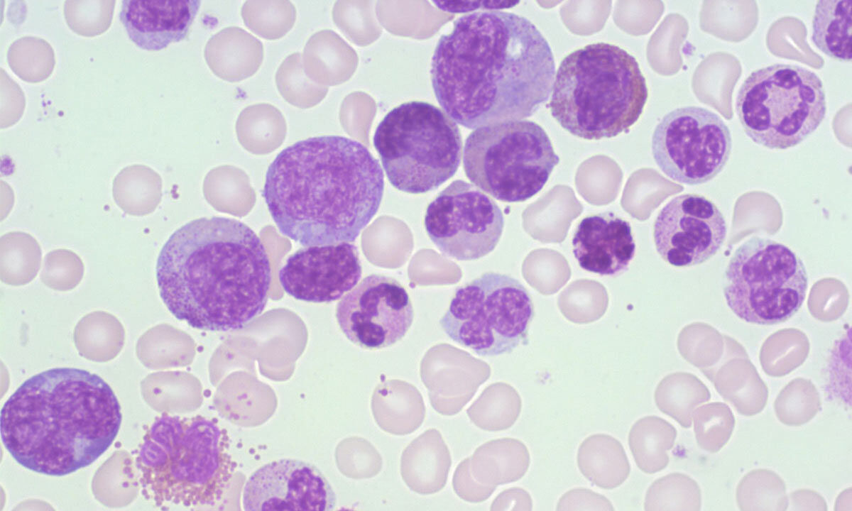
만성 골수성 백혈병(CML) 치료에서 더 깊은 치료 반응과 환자의 삶의 질 향상이 점점 더 중요해지고 있습니다. 이는 환자들이 더 나은 삶을 영위할 수 있도록 돕기 위한 새로운 치료 목표로 설정되고 있습니다....
기사 원문 보러가기글로벌 뉴스는 현재 시범 서비스 운영 중으로 기사 품질과 번역은 지속적으로 개선 될 예정입니다. 글로벌 뉴스는 사용자가 선택한 질환에 관련된 기사를 Google News의 RSS를 통해 제공합니다. 기사의 제목과 설명은 Google News RSS를 기반으로 하기에 원문 기사 내용과 다소 차이가 있을 수 있습니다. 중요한 정보 활용 시에는 기사 원문 확인이나 전문가 상담을 권장합니다. 기사 원문에 대한 책임은 원출처에 있으며, 레어노트는 기사의 정확성이나 신뢰성에 대해 책임지지 않습니다. 외부 사이트 이동 시에는 해당 사이트의 내용 및 보안 책임이 있음을 유의해 주시기 바랍니다.
암 · 희귀질환과 관련된
전 세계 정보,
전 세계 정보,
레어노트에서 확인해 보세요
휴대폰으로 QR를 촬영하면
앱을 설치할 수 있습니다.
