개요

무뇌수두증(Hydranencephaly)는 임신중기에 대뇌 반구가 파괴되어 빈 곳에 뇌척수액(cerebrospinal fluid, CSF)이 가득찬 매우 드문 선천성 신경관 형성후 장애입니다. 

두개강은 낫(falx)를 따라 간뇌에 가까운 곳에서 신경교(glial) 조직과 뇌실막의 흔적이 있으며, 두개둥근천장(cranial vault)과 뇌막은 양호합니다. 기저핵, 뇌간 및 후와 구조(posterior fossa)와 같은 중뇌 구조는 존재합니다.

무뇌수두증은 일반적으로 전방 순환을 포함하는 혈관 손상에 의해 발생합니다. 

출생 시 환자는 정상 원시 반사와 함께 신체진찰 상 정상으로 보일 수 있으나, 시간이 지남에 따라 뇌척수액 압력 증가로 인해 큰두개골증이 나타나거나 드물게는 소두증으로 나타날 수 있습니다. 

자궁 내 초음파로 태아의 두 개내 뇌조직 없이 뇌척수액으로 대치되어 있는 것으로 진단할 수 있습니다. 

치료는 상태에 따른 보조적 지지이며, 수두증이 있는 경우 CSF의 뇌실복강내 단락시술을 고려할 수 있습니다. 

무뇌수두증의 유병률은 정확히 알려져 있지 않고, 더구나 최근에는 치료적 유산으로 인해 매우 드뭅니다. 일반적으로 임신 태아의 5,000~10,000명 중 1명꼴로 발생하는 것으로 보고하고 있습니다. 미국 텍사스에서는 100,000 출생아당 1.4~2.8명, 일본에서는 100,000 출생아 당 2.1명이며, 수두증이 있는 환아의 1%에서 무뇌수두증으로 진단됩니다.

남녀의 차이는 보고되지 않았습니다.

원인

정확한 원인은 모르지만 몇 가지 가능성 있는 원인들이 제시되고 있습니다.

- 일반적으로 임신 8~12주에 내경동맥(internal carotid artery, ICA)과 일부 중대뇌동맥(middle cerebral artery, MCA)의 양측성 폐쇄에 의한 뇌경색 연관 구조물의 소실과 후대뇌동맥(posterior cerebral artery, PCA)과 뇌기저동맥(basilar artery)에 의한 보존된 구조물의 결과가 가장 흔한 기전으로 생각됩니다. 
- 또한 자궁내감염에 의한 괴사성 혈관염으로 발생되기도 합니다. 
- 산모의 심각한 일산화탄소 중독과 같은 태내 가사(fetal asphyxia)에 의한 광범위 허혈성 뇌손상을 일으킬 수 있습니다.
- COL4A1 유전자, LAMB1 유전자, PI3K-Akt3-mTOR 전달체계의 유전적 변이와 염색체 삼배체수(Triploidy) 관련된 증후군도 원인입니다.
- 산모가 임신 중 코카인, 흡연, 에스트로겐, valproate와 같은 독성 물질에 노출되었을 수도 있습니다.
- 쌍둥이 임신 중, 태내에서 쌍둥이 한 명이 사망 후 발생하기도 합니다.
- Fowler증후군, 제13인자 결핍증, 두개내출혈도 원인이 됩니다.

증상

대부분의 무뇌수두증 태아는 출생 전 사망합니다. 임신 중에는 정상적인 태동을 보이고, 출생시에도 머리둘레나 신생아 반사는 모두 정상입니다. 일부에서는 뇌압의 상승으로 두개골의 상부 얼굴의 변형을 보이는 경우도 있고, 심한 경우는 출생 시 경련이나 호흡곤란을 호소하기도 합니다.

정상적으로 출생했어도 몇 주 후에는 과잉보챔, 근긴장도 증가/감소, 머리둘레 증가, 넓은 대천문이 관찰됩니다. 이러한 증상은 몇 주 동안 빠르게 진행되고, 몇 달 후에는 경련과 수두증이 발생할 수 있습니다. 청력은 일부 신경전도성 청력소실이 보고되긴 하지만, 대체적으로 보전되며, 시력장애는 잘 발생하는 것으로 알려져 있습니다.

그 외 저신장, 경직성 마비(Spastic diplegia), 인지 장애, 양안격리증(Hypertelorism), 양측시신경저형성, 이형성 망막, 시각상실 등을 보일 수 있습니다.

◈ 중증소견
출생 전 사망하는 경우가 많으며, 출생 후 정상인 경우에도 빠르게 수두증이 심해지며, 경련, 사망할 수 있습니다.

진단

대부분 임신 중 주기적인 태아 초음파 검사를 통해 진단되며, 산전에 인지되지 못하면, 출생 시에는 정상이기 때문에 증상이 나타나는 몇 주에서 몇 달 가량 진단이 지연될 수 있습니다.

1. 초음파 :재태연령 21~23주 사이 초음파를 통해 대뇌반구 없이 액체로 채워져 있는 머리를 확인할 수 있습니다. 출생 후에도 초음파는 유용합니다.
2. 머리 MRI : 주 진단 검사법입니다.
3. 머리 CT
4. 투과조명법(Transillumination)

그 외 뇌파검사, 청력검사, 안과 검진, 혈관조영술 등의 검사를 통해 환자의 상태를 파악할 수 있습니다.
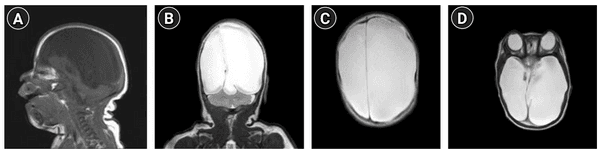
환자의 뇌 MRI사진
[출처] Kim BG, et al. Clinical Manifestations of Hydranencephaly: A Case in Monochorionic-Diamniotic Twin. Ann Child Neurol. 2021 Apr;29(2):105-107。
(그림1. 환자의 뇌 MRI사진. 두 개내 뇌실질이 뇌척수액으로 대체되어 있다.)

치료

치료는 이환된 몸의 상태와 합병증에 따라 보존 치료를 합니다.

무뇌수두증 환자의 예후는 좋지 않아서 대부분 출생 전 자궁내 사망하며, 출생후 1년 안에 사망하는 것으로 알려져 있습니다. 이러한 이유 때문에, 임신 중 확인되면 치료적 임신중절 치료를 선택할 수 있습니다. 

수두증이 있는 경우는 뇌실내 압력을 줄여주기 위해 뇌실복강내 단락술( ventriculoperitoneal shunt) 또는 뇌실심실내 단락술(ventriculoatrial shunt)을 합니다.
대부분 경련을 하기 때문에 항경련제를 복용합니다. 호흡곤란이 있는 환자의 경우, 기관절개술 후 인공호흡기를 달기도 합니다. 

또한 물리치료, 작업치료가 도움이 될 수 있습니다.
영양상담과 영영중재가 예후에 중요합니다.

참고문헌

1. In: StatPearls [Internet]. Treasure Island (FL): StatPearls Publishing; 2021 Jan. 2021 Jul 2.
2. Gezmu AM, et al. Hydranencephaly in a Neonate: A Literature Review. Neurol India. 2020 Jan-Feb;68(1):199-201
3. Kim BG, et al. Clinical Manifestations of Hydranencephaly: A Case in Monochorionic-Diamniotic Twin. Ann Child Neurol.  2021 Apr;29(2):105-107
4. https://www.ninds.nih.gov/Disorders/All-Disorders/Hydranencephaly-Information-Page
5. https://emedicine.medscape.com/article/409520-overview